Skip to main content

Study shows that non-invasive ultrasound shows promise for treating Parkinson’s disease

Oxford University researchers have shown for the first time that ultrasound could have similar effects on brain activity in Parkinson’s sufferers as implanted deep brain stimulation (DBS) electrodes. This opens the door to new treatment approaches that could avoid surgery.

Participant undergoing TUS while carrying out a reaction-time test.

Participant undergoing TUS while carrying out a reaction-time test. Credit: John Eraifej

Parkinson’s disease is a brain condition that affects around 8.5 million people worldwide and is characterised by symptoms such as slowed movement (bradykinesia), tremors, painful muscle contractions and difficulty speaking. These arise from disrupted brain circuits following the loss of dopamine-producing neurons.

Symptoms get worse over time, resulting in high rates of disability and the need for care. There is currently no cure for Parkinson disease, but therapies such as DBS can reduce symptoms. However, this requires invasive brain surgery to implant electrodes, and is often not available or affordable in low- and middle-income countries.

A key feature of Parkinson’s disease is the presence of abnormal beta-band brain oscillations, which are strongly linked to symptom severity and are a target for DBS therapy. However, until now, no ultrasound technique had been shown to directly modulate these disease-related brain signals in a controlled and mechanistic way.

A new, non-invasive approach

In this proof-of-concept study,  published in Nature Communications, Oxford researchers applied focused ultrasound waves to four patients with Parkinson’s disease, targeting deep brain structures involved in movement control. Crucially, the team designed the ultrasound stimulation to mimic the pulsing frequency used in DBS (130 Hz).

For each participant, the team used state-of-the-art computational modelling to design personalised ultrasonic lenses capable of precisely targeting a deep brain structure known as the globus pallidus. When ultrasound stimulation was applied to this region, the researchers observed a reduction in abnormal beta-band brain activity across a wider network of connected regions known as the basal ganglia.

 

Schematic showing ultrasound transducer and lens (orange); focal spot (red); global pallidus (blue) and the sensing electrodes in the subthalamic nucleus (white).
Schematic showing ultrasound transducer and lens (orange); focal spot (red); global pallidus (blue) and the sensing electrodes in the subthalamic nucleus (white). Credit: John Eraifej.

 

They found that:

  • Ultrasound reduced pathological beta oscillations in key brain regions by a median of around 10%.
  • This neural change was accompanied by a median ~18% improvement in reaction time, a measure of bradykinesia.
  • The effects were observed in real time, indicating a direct causal link between stimulation and brain activity.

The results provide the first evidence that transcranial ultrasound can modulate a clinically established biomarker of Parkinson’s disease in a therapeutically relevant way.

 

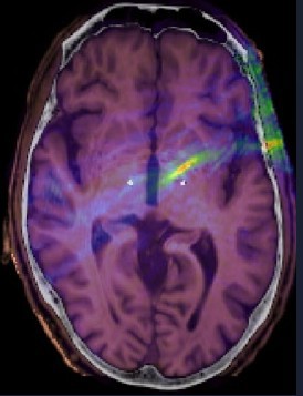
An overlay of the predicted ultrasound field (blue-red) on a two-dimensional image of the skull and brain showing the targeting accuracy of the lens.
An overlay of the predicted ultrasound field (blue-red) on a two-dimensional image of the skull and brain showing the targeting accuracy of the lens. Credit: John Eraifej.

 

This work was a collaboration between the University of Oxford’s Institute of Biomedical Engineering (IBME) in the Department of Engineering Science, Nuffield Department of Clinical Neurosciences (NDCN) and Nuffield Department of Surgical Sciences (NDS), besides Imperial College London.

The researchers now plan to optimise this ultrasound approach, known as transcranial ultrasound stimulation, and test it in alternative targets and clinical conditions including chronic pain and tinnitus. Their ultimate goal is to develop a non-invasive platform technology for use in clinical and scientific settings.

"These results open the door for transcranial ultrasound stimulation to be used as a non-invasive therapeutic tool, not just in Parkinson’s but also in other brain disorders."

Lead author, Dr John Eraifej (Nuffield Department of Surgical Sciences and Nuffield Department of Clinical Neurosciences)

 

Beyond its potential as a therapy, the researchers propose that ultrasound could be used to guide brain surgery. By non-invasively testing different targets in advance, clinicians may be able to identify the optimal stimulation site and select patients most likely to benefit from deep brain stimulation, improving both precision and outcomes.

Professor Alex Green (Nuffield Department of Surgical Sciences and Nuffield Department of Clinical Neurosciences) says, "Whilst DBS is a very effective therapy for Parkinson’s disease, we don’t always know which target will be optimal for individual patients. In the future, we could use transcranial ultrasound stimulation to deliver personalised DBS surgery, both in Parkinson’s disease but also in novel indications such as chronic pain".

"This is a wonderful example of the environment Oxford provides in which world-leading experts from different disciplines can work together to address an issue of societal impact."

Co-author Professor Robin Cleveland (IBME, Department of Engineering Science)

 

The study ‘Suppression of Pathological Oscillations with Transcranial Focused Ultrasound in Parkinson’s Disease’ has been published in Nature Communications.

The work was funded by the Rosetrees Trust, John Black Charitable Trust and the Medical Research Council.